ガムピーリングの実習をしました

      2024/06/04

IMG_0634IMG_0636

先日、院内勉強会を行いました。

今回は、歯肉への色素沈着で黒ずんだ歯肉を本来のピンク色に戻す

ガムピーリングの実習を行いました🙋🏻

ガムピーリングは肌のピーリングと同じようなもので

古い部分(色素沈着した歯肉)の表層をお薬を使って

ピーリングして新しい表層へと変えていく方法です!

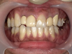
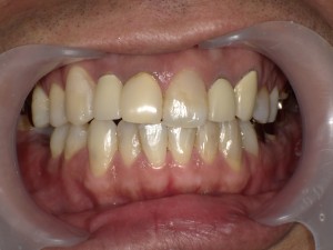
下の写真は施術者の例です。

歯と歯茎の際に注目してご覧ください。術前は赤黒かった歯ぐきがピンク色の綺麗な歯茎に変化しています。

施術しておよそ1週間から2週間くらい新しい歯茎へと変わっていきます!

user comment....

術前(上下前歯の歯と歯茎の際は赤黒いです。)

user comment....

術後(ピンク色の綺麗な歯ぐきが見えます♪)

 

本当に気軽に受けていただける処置ですので、気になる方は是非ご相談ください!



藤田歯科 豊中ステーションクリニック:https://fujita-dentistry.com/

〒560-0021 大阪府豊中市本町3-1-26 ティオ阪急豊中内 1F
フリーダイヤル:0120-469-418 直通電話:06-6846-7700

電車でお越しの方:
阪急豊中駅下車。北改札⑨番出口前
駅直結施設(ティオ阪急豊中)内 1Fキコーナ向かい

PAGE TOP