インビザラインをしたスタッフの感想

      2024/06/04

こんにちは☀

大阪府豊中市の豊中駅内にある

藤田歯科豊中ステーションクリニックです💕

 

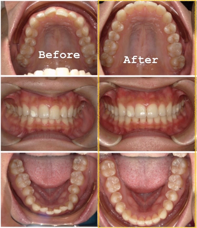
今回は、インビザライン(マウスピース矯正)を終えたスタッフの感想と写真になります↓

インビザラインを終えて、とても磨やすくなりました✨

それと同時に出血することも減りました!

マスクを外して笑うことも自身がもてるようになりました。

マウスピースの着用中は、多少の痛みや、奥歯に食べ物が詰まることもありました。

痛みは私の場合、2〜3日でなくなりました。

食べ物が詰まる症状は、マウスピースをしていくと気にならなくなりました。

また、マウスピースをつけると間食ができないため、ダイエット効果もあり👀

歯の健康だけではなく、体の健康にも気をつけるようになりました🏋

これからインビザラインをされる方に参考になればと思います☺

1F6F7541-0411-4E02-8751-16D04FAA68FF

 

またツルエスさんのエステ体験にも行ったのでその感想も皆さんに共有します🐣↓

ツルエスさんでは、インディバによる温感エステ、リンパドレージュ、ヒト幹細胞パックを体験しました🎀

温感エステはうつ伏せになり、お腹の下に暖かい板を入れて、背中を温感の機械でマッサージしていただきました。

身体の芯から温まりました。

リンパは、気になる部分を希望でき、私は足と鎖骨周りを中心にお願いしました。

ゴリゴリと感じるほど、普段から疲れが溜まっているのだなあと感じました。

ヒト幹細胞パックをしてから、肌の調子がとてもいいです🙆🏼

もちもち肌が2週間近くたった今も続いています。

1ヶ月に一度施術していただくと効果的だそうです。

1度だけでも効果が感じられたので、とてもお得感がありました💗

 

当院では、5月31日まで

「あなたの美容課金、インビザラインで応援します」キャンペーン実施中です!

無料相談のご予約をお取りしたい方は、HPの【WEB】または

お電話【0120ー469ー418】よりご連絡ください。

興味のある方や詳しく聞きたい方は、LINE相談よりお気軽にご相談ください。

 



藤田歯科 豊中ステーションクリニック:https://fujita-dentistry.com/

〒560-0021 大阪府豊中市本町3-1-26 ティオ阪急豊中内 1F
フリーダイヤル:0120-469-418 直通電話:06-6846-7700

電車でお越しの方:
阪急豊中駅下車。北改札⑨番出口前
駅直結施設(ティオ阪急豊中)内 1Fキコーナ向かい

PAGE TOP