マウスピース矯正(インビザライン)をしています♪
2024/06/04
こんにちは☺
受付の大野です⭐
通院中の患者様は気づかれていたでしょうか?
実は私は当院でマウスピース矯正(インビザライン)を行っています!!
現在、初めて5か月目に入りました😃
使い始めは10日ほど慣れなくて喋りにくいと感じることもありましたが、
今は全く痛みもなく、快適に矯正治療を進めています✨✨
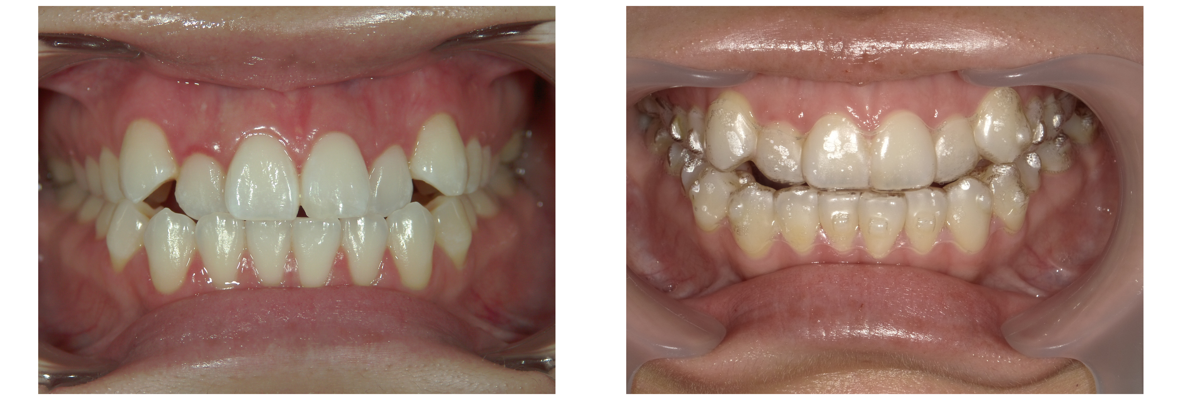
左は術前の状態で、右側はマウスピースをつけている状態です😀
矯正といえば、ワイヤーでの矯正イメージが大きいと思いますが、
見た目も透明なので矯正していることも目立たず、ワイヤーが嫌だな~とお悩みの方にも
おすすめです💁
また、取り外しも可能なので、ブラッシングなどもお手入れもとてもしやすいです💫
矯正にご興味のある方、シュミレーションは無料でいつでも出来ますので、
スタッフにいつでもお声がけください🍀
藤田歯科 豊中ステーションクリニック:https://fujita-dentistry.com/
〒560-0021 大阪府豊中市本町3-1-26 ティオ阪急豊中内 1F
フリーダイヤル:0120-469-418
直通電話:06-6846-7700
電車でお越しの方:
阪急豊中駅下車。北改札⑨番出口前
駅直結施設(ティオ阪急豊中)内 1Fキコーナ向かい
