ラミネートベニアについて

      2024/06/04

日に日に秋が深まる季節となりました🍁
今年は新型コロナだけではなく、インフルエンザも心配されているので、体調管理には本当に気を使いますね💦

「口を開けて笑ったときに歯の汚れが気になる」という方は、多くいらっしゃると思います。
歯を白く、美しくするために歯科に通う人も多く、その治療のひとつである「ラミネートベニア」をご存知でしょうか?
近年、短期間で美しい歯を手に入れることができると注目されている治療方法です!

●ラミネートベニアとは?
ラミネートベニアは、ご自身の歯の表面を薄く削って、「つけ爪」のような感覚で、薄いセラミックを歯の表面に張り付ける審美治療です。
被せ物で治療するよりも歯を削る量が少ない為、歯の寿命をより永く保つことができます!
見た目はもちろん、セラミック自体も、プラーク(細菌)も付着しにくい素材なので、衛生面も安心ですね✨

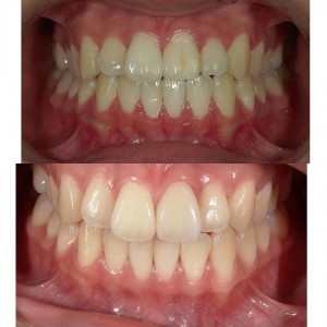
一般

左上の前歯の色が気になっていた患者様の歯をラミネートベニアで治療しました。
一流の技工士さんが写真を見ながらハンドメイドで作製するので、修復歯がどれか見分けがつかないほど、自然な仕上がりとなりました😊
患者様もご自身のコンプレックスを解消できてとても喜んで下さいました🎶

●ラミネートベニアの施術方法
1.カウンセリング
ラミネートベニアの施術を行う歯科医師とカウンセリングを行います。
患者様が希望する歯の白さや形状、どのような歯になりたいのかといったイメージを共有し、完成した際に「イメージ違い」が発生してしまわないようにします!
歯の症状によっては他の施術が適している場合や、ラミネートベニアを希望しても適性でない場合などもあり、治療前のカウンセリングは非常に重要です。
形態や見え方の相談を含む様なケースでは、場合によっては、診断用ワックスUPという、技工士さんにシュミレーションを作製してもらって相談することもあります。

2.歯の形成、型取り
セラミックシェルを貼り付けるため、歯の表面を削ります。
表面から0.3〜0.8mmというわずかな厚みであり、削るのは神経に影響しない部分であるため、麻酔を用いる必要もありません😌
その後、セラミックシェルを作製するための型取りを行います。歯の表面のカーブや凹凸などを正確に型取ることで、よりぴったりと接着することが可能なセラミックシェルを作製することができるためです。

3.セラミックシェルの作製
型取りを元に、セラミックの歯を製作します。なお、セラミックシェルの作成には1週間〜2週間程度かかるため、その間は仮の歯で削った歯をカバーし、日常生活に支障がないようにします😊

4.セラミックシェルの接着
機械で削り出したセラミックシェルを、接着剤で貼り付けます。接着剤は特殊な光を当てることで硬化するタイプのものです。
しっかりと歯に貼り付けた後に、セラミック周辺を磨き、高さに凸凹が出ないよう周囲の歯になじませて完成です✨
施術としてはこれで終了ですが、経過予後確認のための来院が必要になる場合があります。

●ラミネートベニアのメリット
〜1本だけの治療から上下の前歯全てまで治療可能〜
治療の規模を柔軟に変えることができます🎶
1本だけをラミネートベニアで美しくすることもできますし、上下の前歯をすべて治療することも可能です◎

〜長い期間美しい歯をキープできる〜
金属や合成樹脂などと比較して、セラミックという素材は変質しづらく、削れたりすることも少ないものです。
汚れや色素がつきにくいので、1度の治療が完成すれば、長期間美しい歯を保つことができます。また、アレルギーを起こしづらいというのも大きなメリットです!

〜自分の歯を多く残せる〜
天然歯は一度失ってしまうと、二度と戻ることがなく、貴重なものです。
エナメル質範囲内を削るだけで治療が可能なため、自分の歯を多く残すことができます✨

〜施術を受けていない歯と馴染む〜
施術前のカウンセリングで自分の歯の色調に合うよう調整を行うため、自分の歯の色と馴染み、ラミネートベニアを行った歯が目立ちません。
「前歯の1本だけが不自然に白い」ということもなく、全体として自然な歯になります!

ラミネートベニアはメリットが多く、より確実に歯を綺麗にできる方法です。
同じく歯を白くする施術方法にはホワイトニング各種もありますので、どちらが自分に合っているか、費用の面も含めて比較検討してみましょう😌
審美でお悩みのことがあれば、他の治療方法についてなどもお話しいたしますので是非当院スタッフにご相談ください!



藤田歯科 豊中ステーションクリニック:https://fujita-dentistry.com/

〒560-0021 大阪府豊中市本町3-1-26 ティオ阪急豊中内 1F
フリーダイヤル:0120-469-418 直通電話:06-6846-7700

電車でお越しの方:
阪急豊中駅下車。北改札⑨番出口前
駅直結施設(ティオ阪急豊中)内 1Fキコーナ向かい

PAGE TOP